Do you want a long-term solution to the loss of teeth? Full arch dental implants are a revolutionary way to get you back to smiling and functioning normally. To replace missing teeth, you still have some options available to you, and unlike traditional dentures, they make a permanent solution that is stabilized and looks and feels like natural teeth. In this guide, we explain the full arch dental implant procedure, full arch dental implant recovery, and how they differ from dentures. We will also take a look at the full arch dental implant cost and discuss the best outcomes that can be achieved with trusted products from Aidite.

What are Full Arch Dental Implants?
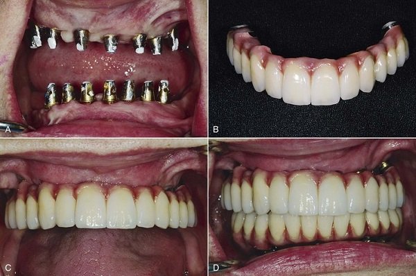
With full arch dental implants, four to six implants will be strategically placed to replace an entire row of missing teeth. The implants serve as anchors for a fixed bridge that can provide a permanent solution to taking out dentures. Ideal for patients who are missing teeth on either the top or bottom row, this restoration restores full function and aesthetics.
Who Can Benefit from Full Arch Dental Implants?
When it comes to full tooth loss, full arch Implant procedure are a great solution for many people that have been struggling with tooth loss and dental problems for a long time. This is a great solution to use for:
- Individuals with multiple missing or failing teeth: Whether due to decay, gum disease, or trauma.
- Existing denture wearers: Those who are looking for a stable, long-term, and natural-feeling replacement for traditional dentures.
- Patients with good jawbone density: These patients can still receive implants because they have sufficient bone support to hold an implant in place, or they may also be candidates for bone grafting.
- Adults seeking a long-term investment: Perfect for adults looking for a more permanent addition that will be functional and beautiful.
- Health-oriented patients: All around good hygiene and health, more success with implants, including non-smokers.
Full Arch Dental Implant Procedure
The full arch Implant procedure is a methodically planned, step by step process that is designed to deliver the best results and will please the patient. Here is a detailed breakdown:

Step 1: Comprehensive Consultation
Your dentist will begin with a thorough exam with dental X-rays, 3-D imaging, and a medical history. It allows for bone density to be checked to make sure you are a candidate for full arch dental implants.
Step 2: Treatment Planning
Your dentist plans exactly where each implant will go with digital imaging and software. A full arch of teeth dental implants feels completely comfortable and works as nature intended, ensuring you feel confident at all times with a perfectly natural smile.
Step 3: Extraction (If Required)
If any remaining dentition within the arch is at fault or not salvageable, it will also be extracted for implant placement to be completed. It is an important aspect of preparing for full arch dental implants.
Step 4: The Surgical Procedure to Place the Implants
Four to six titanium implants are surgically inserted into your jawbone. They serve as the support for a full arch of teeth and are super sturdy and secure.

Step 5: Fitting a temporary prosthesis
An immediate temporary bridge can be fixed soon after the procedure. This aims to keep aesthetics and oral function during the entire full arch dental implant recovery period.
Step 6: Recovery and Osseointegration
This bonding step with your jawbone is known as osseointegration, an essential part of the healing period. And that will become the foundation of your full arch dental implants procedure. This step is the key to a successful procedure and long-lasting results.
Step 7: Place Final Prosthetic
Once your healing period is done, your custom bridge is secured to the implants. The full arch dental implant procedure has been accomplished, and now the patient has all functionality and aesthetics back.

Every step of full arch dental implant procedure is critical for a lasting, beautiful, and functional smile.
Full Arch Dental Implants Recovery
Full arch dental implant recovery is in the range of 3 to 6 months and is individually different from patient to patient. Here’s what to expect:
- Week 1: You will typically experience slight swelling, minor bleeding, and pain. Patients should take it easy and eat soft foods and not do anything too taxing.
- Weeks 2–6: Most of the swelling resolves. Patients acclimate to the interim prosthesis and continue to return to their routine. Follow up appointments are to see that it heals properly.
- Months 2–6: The implants undergo osseointegration, meaning they bond with the jawbone. Your dentist will check on the stability of the implant and whether you are ready for the final prosthesis.
Taking care of your teeth is crucial after surgery. Generally, full arch dental implant recovery time gets a lot faster when rinsing with non-alcoholic mouthwash, gentle brushing, and no tobacco products. Though recovery is unique for everyone, with care and proper instructions, most patients progress to permanent, functional teeth seamlessly.
Full Mouth Dental Implants vs Denture
When it comes to full mouth dental implants vs dentures, the cost, function, and long-term satisfaction make it a daunting decision. While both options can be used to replace missing teeth, the differences in comfort, durability, and effect on oral health are striking. Here is a side-by-side comparison to help clarify the key differences:

Feature | Full Arch Dental Implants | Traditional Dentures |
Stability | Permanently fixed | Removable |
Bone Preservation | Prevents bone loss | Accelerates bone loss |
Comfort | Feels natural | Can be uncomfortable |
Maintenance | Brush like natural teeth | Requires daily removal/cleaning |
Longevity | 15+ years with proper care | 5–7 years |
When comparing full mouth dental implants vs dentures, the functionality and comfort inherent to implants are hard to beat.
Full Arch Dental Implant Cost
The full arch dental implant cost can vary greatly by country, materials, and the skills of the clinic. Here is a average price range based on different country.
Country | Avg Cost per Arch (USD) |
United States | $25,000–$40,000 |
Canada | $22,000–$30,000 |
United Kingdom | £13,400 ($17,000)–£26,800 ($34,000) |
Turkey | $3,000–$7,000 |
Mexico | $8,000–$12,000 |
Thailand | $7,900–$9,800 |
Notes:
- United States: Full arch (All-on-4 or similar) ranges from $25k to $40k, a typical U.S. price.
- Canada: $22k–$30k per arch, depending on locality and material preference.
- United Kingdom: “Teeth-in-a-Day” starts at £13.4k ($17k) with 2 arches, around £26.8k
- Turkey, Mexico, Thailand: Typical dental tourism places with big cost savings (50–70% less) yet still maintain an exceptional care standard.
What Affects the Dental Implant Cost?
Knowing what determines the full arch dental implant cost can be helpful for budgeting and avoiding unnecessary expenses. Below are the factors that play an important role in determining the complete full arch dental implant cost.
- Implants Needed: The more implants needed, the higher the surgical and material costs.
- The Quality Of The Prosthetic Material: High-end materials such as zirconia or such as those from Aidite produce superior aesthetic appeal and strength.
- Diagnostic Tests and Surgical Expertise: Higher materials and skilled procedures may increase upfront costs but will result in better outcomes.
- Follow-Up Care and Adjustments: post-op visits, adjustments, and maintenance are also included in the total cost.
- Location: Expenses differ according to the country you live in and, often, even the city and the level of competitiveness.
- Other procedures: For some patients, bone grafts, sinus lifts, or extractions may need to be performed prior to full arch dental implant procedure, raising the overall cost.

Opting for advanced material, such as Biomic Stain/Glaze kit by Aidite, will satisfy your long-term use value and relieve you of the hassle of repairing your crown.
FAQs
Q1. Are full arch dental implants worth the investment?
Yes, Because they restore oral function, aesthetics, and comfort for the long run. In the long term, they are also a wise choice as a replacement for dentures since they are long-lasting and feel more natural.
Q2. How do I care for the full arch dental implants after the surgery?
After a full arch dental implant procedure, brushing, flossing, and regular checkups will keep the implants healthy. The full arch dental implant recovery can take some time, but if you take care of it appropriately, you can expect the recovery to go well in the long run.
Q3. Is it possible to have full arch dental implants done in just one single day?
Absolutely, some techniques, such as Teeth in a Day, allow us to place a full arch instantly. Nevertheless, the full arch dental implant recovery period ensures complete recovery and osseointegration.
Conclusion
For people who suffer from major tooth loss, full arch dental implants offer a permanent solution. Full arch dental implant procedure explained, full arch dental implant recovery, and all the details comparing full mouth dental implants vs dentures right here. Though the complete arch dental implant cost can be high, the long-term benefits make the price worth it. Aesthetic and functional outcomes are also better when good quality dental products are used; for example, Aidite has its own Biomic Stain & Glaze Kit that can achieve perfect aesthetics and longevity.